脳外科手術は非常に複雑で高度な技術を要するものです。医師によって技術量は様々です。そのため手術を受けられる際は一人でも多くの医師から意見を聞くことをお勧めします。
OPE PARCからの依頼を受け、医療従事者向けに私の手術室の映像情報や各種生体情報、機器の動作状況、環境情報などを収集し、公開しています。
頭蓋底領域をはじめとした脳疾患の実際の手術や治療についてまとめています。
同じような症状や状態の方の参考になれば幸いです。
久々のインド・コルカタでの症例です。 今回は、動脈瘤クリッピングのレジェンド・佐野公俊先生...
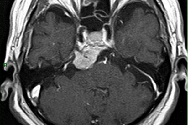
斜台部・錐体骨部腫瘍 症例 頭蓋底部 髄膜腫
ハノイでの症例です。頭蓋咽頭腫という小児と中年に多い腫瘍で、下垂体というホルモンを分泌する...
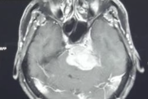
鞍上部腫瘍 頭蓋底部
国内他院の症例です。出張手術に呼ばれました。以前よりフォローしていた腫瘍が大きくなって来た...
斜台部・錐体骨部腫瘍 頭蓋底部 髄膜腫
脊索腫とは、脳ではなくて頭蓋骨にできる腫瘍です。年間100万人に一人くらいの発生率でとても...
頭蓋底部
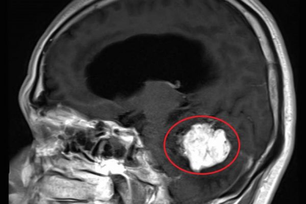
松果体近傍部腫瘍は小脳テントを経て病変部にアプローチするのが主流です。この症例も同アプロー...
松果体部腫瘍 頭蓋底部
引き続きハノイでの症例です。福島先生がよくおっしゃっていた「脳外科の手術で一番難しい」錐体...
斜台部・錐体骨部腫瘍
ハノイでの症例です。聴力低下にて発見された左聴神経腫瘍。サイズはそれほど大きくありませんで...
聴神経腫瘍
コロナが明け、久々のハノイ出張です。40代女性の再発聴神経腫瘍。聴力障害はありましたが、顔...
VIEW MORE
この腫瘍は聴神経から発生する良性の腫瘍(神経鞘腫)で、小脳橋角部という部分に発生するものです。聴神経には聴覚に関係する神経(蝸牛神経)と平衡感覚に関する神経(前庭神経)があり、前庭神経から発生するものが多いとされています。
髄膜腫は全脳腫瘍のうち約25%前後を占めるといわれています。その発生原因は明らかでありませんが、硬膜という脳を覆っている膜の細胞から発生する良性の腫瘍です。このページでは髄膜種の治療から合併症についてまで詳しく説明していきます。
脳動脈瘤とは脳の動脈の分岐部にコブができた状態のことをいいます。脳動脈瘤の成因は明らかではありませんが、一般に動脈分岐部の壁に先天的に弱い部分があり、そこに血液の流れ、年齢による動脈硬化や高血圧などが加わって動脈瘤が発生すると考えられています。
脳動静脈奇形(AVM)は血管の病気で、先天性(胎児期および幼少時期)の異常と考えられています。脳の中で動脈と静脈が毛細血管を介さず「血管のかたまり」(ナイダスと呼ばれています)で直接繋がってしまった奇形です。
頸部内頸動脈に動脈硬化が原因のプラークが生じると、狭窄(狭くなること)による脳血流低下のみならず、プラークが剥がれて脳の血管に飛んでしまい、脳塞栓の原因となり得ます。このページでは頸部内頸動脈狭窄症に対する治療の方法や合併症について詳しく述べていきます。
鞍上部腫瘍とは、トルコ鞍と呼ばれる両目の奥、正中部(真ん中)に存在する脳下垂体と呼ばれる小さな器官が入っている場所の上にできる腫瘍の総称です。このページでは鞍上部腫瘍についての治療から合併症についてまで詳しく説明していきます。
海綿状血管腫は血管腫という名称ですが、脳腫瘍の分類ではありません。ですので、出血さえしなければ治療の対象にはならない疾患です。
副咽頭間隙とは、咽頭の周囲に存在する顔面、頸部の非常に深いところに位置する部位で、内頚動脈を代表とする非常に大事な血管や神経が奏功しています。このページでは副咽頭間隙にできる腫瘍について治療から合併症についてまで詳しく説明していきます。
松果体は、脳幹後方に存在する非常に深いところに位置する器官で、ホルモンと呼ばれる人体に必要なタンパク質を分泌する組織です。このページでは松果体にできる腫瘍について治療から合併症についてまで詳しく説明していきます。