HOME
BLOG
三叉神経痛
PROFILE
CONTACT
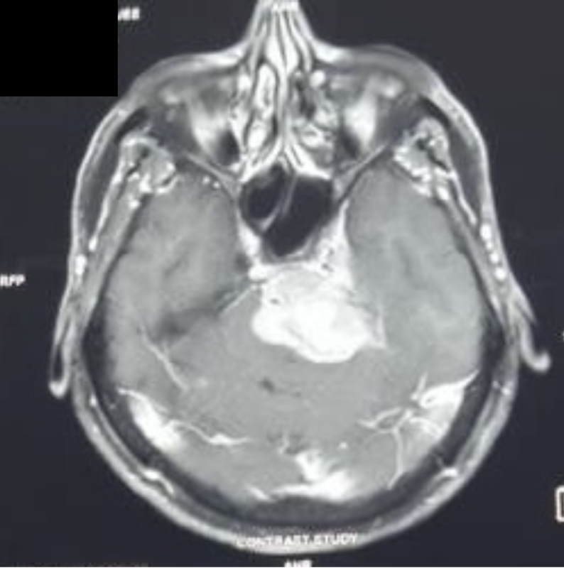
錐体斜台部髄膜腫
2026.04.21
斜台部・錐体骨部腫瘍
症例
頭蓋底部
髄膜腫
久々のインド・コルカタでの症例です。 今回は、動脈瘤クリッピングのレジェンド・佐野公俊先生とともに現地を訪問し、手術に臨みました。 私が担当したのは、いつも通り頭蓋底腫瘍。今回は(今回も、ですね)錐体斜台部髄膜腫です。 以前にも述べましたが、福島孝徳先生をもってして「最も難しい手術」とされる領域です。 限られた時間の中、transpetrosal approachを用いて、付着部を残しつつ腫瘍本体の摘出を行いました。
関連する記事
2026.02.06
頭蓋咽頭腫
2026.02.06
錐体斜台部髄膜腫
2026.02.05
脊索腫
2026.02.02
松果体近傍部腫瘍
2026.02.02
錐体斜台部髄膜腫
2020.11.27
【大脳鎌髄膜腫】50歳 女性